Introduction
MS affects people differently as the disease progresses. Recent research has identified that certain types of brain lesions, called chronic active lesions (CALs), play a crucial role in how MS develops over time. These lesions are particularly important in understanding why some people experience worsening symptoms even when they’re not having relapses.
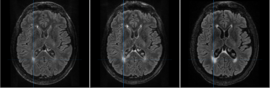
Chronic active lesions are areas of ongoing inflammation in the brain that continue to slowly grow over time. Unlike the sudden appearance of new lesions during MS relapses, these chronic lesions represent a different type of disease activity. They’re characterized by persistent chronic slow-burning inflammation at the lesion edge, which leads to gradual damage to surrounding brain tissue and axonal loss leading to brain atrophy.
Leading MS imaging experts, working together as the North American Imaging in Multiple Sclerosis (NAIMS) Cooperative, have established several ways to identify and measure these chronic active lesions. One key method focuses on tracking how these lesions expand over time.

Our Research Contribution to the Understanding of Lesion Expansion
Over the past decade, our lab has been at the forefront of research dedicated to understanding the role of smouldering inflammation at the rim of chronic MS lesions. This persistent, low-grade inflammation is increasingly recognised as a critical driver of disease progression, contributing to the expansion of chronic lesions and irreversible neurological damage. Our work has focused on uncovering the mechanisms behind this phenomenon, examining how lesion expansion correlates with worsening disability and progression in MS patients.
To advance this area of research, we have developed and refined cutting-edge tools and methodologies to monitor smouldering inflammation and lesion dynamics. These include advanced imaging techniques and automated pipelines for quantifying lesion expansion with high precision.
These efforts are laying the foundation for the development of targeted therapies aimed at mitigating smouldering inflammation and slowing down disease progression. Through these advancements, our lab continues to make significant contributions to the understanding of MS pathology and the pursuit of effective treatments for this debilitating condition.
We developed a robust methodology and designed an automated pipeline to quantitatively measure chronic lesion expansion. This pipeline (LEAP: Lesion Expansion and Analysis Pipeline) allows for precise and reproducible evaluation, enabling more accurate tracking of lesion dynamics in individual patients.
Our research has established a clear link between chronic lesion expansion and disease progression. By identifying this relationship, we provide crucial insights into how smouldering inflammation drives irreversible damage in multiple sclerosis.
We investigated the spatial distribution of chronic lesion expansion, revealing patterns that highlight the variability and focal nature of smouldering inflammation. This work contributes to understanding the heterogeneity of lesion behaviour and its implications for disease progression.
We identified and validated biomarkers of chronic lesion expansion. These biomarkers provide a novel approach to monitor smouldering inflammation and offer new avenues for targeted treatment strategies.
Building on the innovative pipeline developed in our laboratory, we have designed a comprehensive protocol for a clinical trial aimed at evaluating the efficacy of drugs targeting smouldering inflammation in multiple sclerosis.
